Immunotherapy Appears Better Than Chemotherapy for Aggressive Merkle Cell Carcinoma

First-line therapy with Pembrolizumab may produce better responses and result in longer survival in Merkel cell carcinoma than conventional chemotherapy.
The study, co-led by Suzanne Topalian, M.D., associate director of the Bloomberg~Kimmel Institute for Cancer Immunotherapy at the Johns Hopkins Kimmel Cancer Center, is the longest observation to date of Merkel cell carcinoma patients treated with any anti-PD-1 immunotherapy drug used in the first line. The findings, published in the Journal of Clinical Oncology, supported the recent U.S. Food and Drug Administration accelerated approval of pembrolizumab, marketed as Keytruda, as a first-line treatment for adult and pediatric patients with advanced Merkel cell carcinoma.
For this study, investigators from the Bloomberg~Kimmel Institute collaborated with researchers from the Fred Hutchinson Cancer Research Center in Seattle, along with 11 other U.S. medical centers. The Bloomberg~Kimmel Institute team includes Topalian, William Sharfman, M.D., Evan Lipson, M.D., Abha Soni, D.O., M.P.H., and Janis Taube, M.D., M.Sc.
In the 50-patient study of pembrolizumab as the initial treatment for patients with recurrent, locally advanced or metastatic Merkel cell carcinoma, more than half of the patients (28 patients, 56 percent) had long-lasting responses to the treatment, 12 of whom (24 percent) experienced a complete disappearance of their tumors. Nearly 70 percent of patients in this study were alive two years after starting treatment.
“This is the earliest trial of immunotherapy as a front-line therapy for Merkel cell carcinoma, and it was shown to be more effective than what would be expected from traditional therapies, like chemotherapy,” says Dr. Topalian, who is a Bloomberg~Kimmel professor of cancer immunotherapy at the Kimmel Cancer Center, in a news release. “Immunotherapy provides an effective treatment for patients with Merkel cell carcinoma who before had few options. Immunotherapy is unique in cancer treatment because it does not directly target cancer cells but rather removes constraints on the immune system’s natural ability to find and destroy cancer cells.”
The 50 patients in this study were treated at 13 centers across the United States in a clinical trial conducted by the Cancer Immunotherapy Trials Network, which is sponsored by the National Cancer Institute (NCI). The Kimmel Cancer Center, where much of the medical science contributing to the development of pembrolizumab unfolded, was a lead institution. Preliminary findings regarding the first 26 patients enrolled in the study were published in the New England Journal of Medicine in 2016. The study was subsequently amended to add 24 more patients.
The National Institutes of Health (NIH) classifies Merkel cell carcinoma as an “orphan disease,” as it is diagnosed in fewer than 2,000 people annually in the United States. It typically occurs in older people and those who have suppressed immune systems. About 80 percent of Merkel cell carcinomas are caused by a virus called the Merkel cell polyomavirus. The remaining cases are attributed to ultraviolet light exposure and other, unknown factors.
In the study, treatment with pembrolizumab worked well against both virus-positive and virus-negative Merkel cell carcinomas, resulting in high response rates and durable progression-free survival in both subtypes. The findings also showed that tumors expressing a PD-1-related protein called PD-L1 tended to respond longer to treatment, although patients whose tumors did not express PD-L1 also responded.
“These findings could be a precursor to developing more effective treatments for other virus-related cancers, which account for about 20 percent of cancers worldwide,” says Dr. Sharfman, the Mary Jo Rogers Professor of Cancer Immunology and Melanoma Research.
The non-virus-related subtype is characterized by high numbers of genetic mutations in cancer cells, which has also been shown by the Bloomberg~Kimmel Institute group to be a biomarker of response in various cancers to checkpoint inhibitors such as pembrolizumab.
Patients in the just-published study received pembrolizumab intravenously every three weeks for up to two years. During this time, the status of their cancer was monitored periodically with imaging scans. Overall, most patients tolerated the treatment well. However, 28 percent of patients experienced serious side effects, including one treatment-associated death.
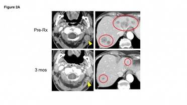
Photo Credit: Johns Hopkins Kimmel Cancer Center
Photo Caption: For a patient whose Merkle cell carcinoma had spread to multiple organs, the treatment resulted in substantial tum