New Guidelines May Slightly Increase Reliability, Accuracy of Melanoma Diagnoses

New guidelines may slightly increase reliability and accuracy of melanoma diagnoses, a new study in JAMA Network Open shows.
The American Joint Committee on Cancer recently updated its guidelines for melanoma, and the study researchers found that when pathologists used the new guidelines for cases of early stage invasive melanoma, they agreed with an expert-defined diagnosis 10 percent more often.
In the study, researchers reviewed 4,342 analyses of 116 cases of invasive melanoma, made by a total of 187 pathologists from 10 U.S. states.
The physicians’ interpretations were compared with an expert consensus diagnosis to assess accuracy. The pathologists were unaware that they were interpreting the same set of cases twice; the second viewing occurred at least eight months after the first.
In a prior study, the same researchers showed that pathologists disagreed about the diagnosis of early-stage invasive melanoma more than 50 percent of the time, and they wanted to learn if the new guidelines would lead to more reliable diagnoses.
Now, pathologists may be able to more accurately classify invasive melanoma using the new guidelines. Although there was only slight improvement in how often pathologists agreed on characterizing invasive melanoma, that difference could help improve treatment outcomes for some patients.
Still, the likelihood that pathologists will agree on the diagnosis of early-stage melanoma tissue and make an accurate diagnosis is low.
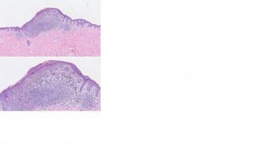
PHOTO CREDIT/CAPTION: The BMJ Scan (at two resolutions) of a category 3 melanoma in situ.