Tweaking TWEAK May Cool Inflammation in Pso and AD

New research pinpoints a common driver of skin inflammation in both psoriasis and atopic dermatitis.
The findings, published in the May 22, 2017 issue of Nature Communications, showed that TWEAK, a protein related to tumor necrosis factor (TNF), plays a major role in inducing pro-inflammatory signaling molecules that recruit immune cells to the skin.
"Atopic dermatitis and psoriasis are two distinct diseases that are induced by alternate immune responses and the factors involved are quite different," explains study author Michael Croft, Ph.D., professor and head in the Division of Immune Regulation at La Jolla Institute for Allergy and Immunology in La Jolla, Calif. "Showing that TWEAK is a critical mediator in both conditions, makes it a potential therapeutic target for the treatment of inflammatory skin diseases in general."
In their current study, Croft and his team, in collaboration with researchers at the biotechnology company Biogen, focused on TWEAK and its receptor, Fn14, which had previously been shown to participate in several inflammatory conditions such as inflammatory bowel disease, arthritis and lupus-like kidney disease. When the team measured TWEAK signaling in skin, they found that the expression of both the receptor and ligand was upregulated in atopic dermatitis and psoriasis.
Keratinocytes and dermal fibroblasts responded to increased TWEAK activity by producing a number of chemoattractive and pro-inflammatory factors commonly found in atopic dermatitis and psoriasis. It also amplified disease-specific cytokines, namely IL-13 and IL-17, further explaining why it can contribute to two fundamentally different diseases.
The bottom line? TWEAK doesn't cause atopic dermatitis or psoriasis but it triggers the production of chemokines that recruit pathogenic inflammatory cells to the skin regardless of the condition, and blocking TWEAK activity, alone or in combination with other treatments, may sufficiently control skin inflammation and its symptoms.
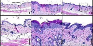
PHOTO CAPTION: TWEAK regulates inflammation in atopic dermatitis and psoriasis. Left: Normal skin. Middle: Skin inflammation in atopic dermatitis. Right: Blocking TWEAK reduces skin inflammation in atopic dermatitis.
Credit: Courtesy of Dr. Daniel Sidler, La Jolla Institute for Allergy and Immunology