Verrucous Psoriasis
Verrucous psoriasis (VP) is a rare subtype of psoriasis most commonly affecting middle-aged to older adults, with fewer than 35 reported cases within the current literature.1 It is characterized by symmetric wart-like, hyperkeratotic, papillomatous plaques.1 Treatment options are limited and variable, as VP is often resistant to topical therapy such as corticosteroids and keratolytics.2 Other treatment options are based on anecdotal case reports and include systemic therapy, such as methotrexate and acitretin, as well as biologics, such as adalimumab and ustekinumab.2
We present a patient with VP of the dorsal fingers that was initially diagnosed as psoriasis and treated with multiple topical steroids. Ultimately, the patient was refractory to steroid topical therapy and required consideration of alternative treatments for definitive management.
Case Report
A 34-year-old male presented with a medical history including asthma, hypertension, obesity, and gastroesophageal reflux disease. He had been clinically diagnosed with psoriasis several years ago at an outside facility after the development of small, pruritic, persistent keratotic papules and plaques on his dorsal fingers, bilateral third toes, and scalp. During our initial visit, he stated that previous treatment with multiple topical steroids improved but did not clear the eruption. Physical examination showed mildly erythematous, small (1- to 4-mm), scaly, hyperkeratotic papules and plaques on the skin overlying the dorsal distal interphalangeal, proximal interphalangeal, and metacarpophalangeal joints, with one small, thin, scaly plaque on the right lateral index finger (Figure 1 and Figure 2). He was prescribed clobetasol 0.05% ointment to apply to the affected areas twice daily.


Figure 1. Clinical photograph demonstrating erythematous, hyperkeratotic, verrucous-appearing papules and plaques with overlying scale located on the skin overlying the distal interphalangeal, proximal interphalangeal, and metacarpophalangeal joints of the left hand. Figure 2. Clinical photograph demonstrating representative lesions on the left hand.
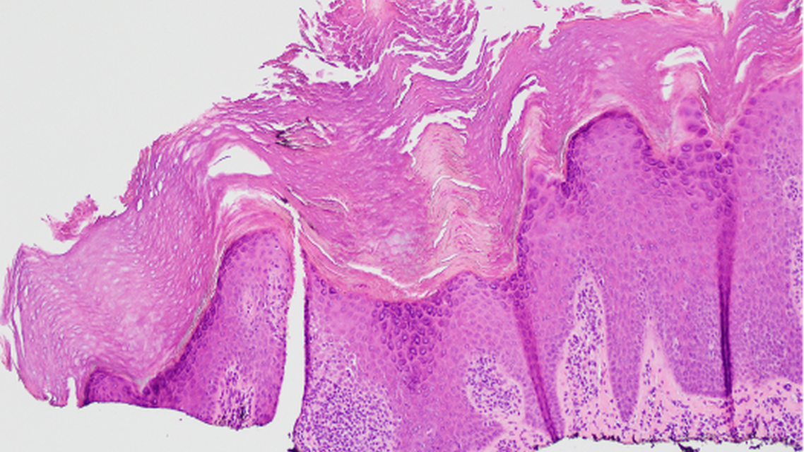
At follow-up, the lesions showed no improvement with the prescribed treatment, so a shave biopsy was performed. Histopathological analysis demonstrated verrucous epidermal hyperplasia with focal granular layer loss and suprapapillary thinning as well as nonspecific chronic dermal inflammation, consistent with a diagnosis of verrucous psoriasis (Figure 3). HPV in situ hybridization testing was negative, confirming the diagnosis of VP.

Figure 3. Hematoxylin-eosin stain; original magnification, ×10. Verrucous epidermal hyperplasia with focal granular layer loss and suprapapillary thinning consistent with verrucous psoriasis. (Department of Pathology, Louisiana State University, New Orleans, LA)
The patient was encouraged to diligently continue twice-daily usage of topical steroids to the lesions until the next appointment. He expressed frustration with the lack of clearance with multiple topical steroids over the years and wished to discuss the usage of systemic treatment or intralesional therapy at follow-up.
We also considered adding topical calcipotriene or keratolytic agents if the patient was amenable to applying additional topical agents. However, because of his frustration and his inability to prioritize dermatology appointments over his numerous other medical conditions that required treatment, the patient did not return to the practice.
Discussion
Verrucous psoriasis (VP) is an uncommon variant characterized by symmetric, hypertrophic verrucous plaques, frequently located on areas prone to friction.1 In a 12-case series on the condition, the lesions were most often found over the extensor surfaces of the upper and lower extremities; the knee was affected in 50% of the cases, the elbow in 33%, and the hand in 17%.3 Like psoriasis vulgaris, VP is characterized histologically by regular psoriasiform epidermal hyperplasia with acanthosis, hyperkeratosis, and spongiform neutrophilic microabscesses.3 Compared to classic psoriasis, the presence of papillomatosis and epithelial buttressing (inward bowing of rete ridges toward the center) are more specific for VP.2
While the etiology of VP remains uncertain, it is hypothesized to be a response to repeated trauma in patients with preexisting psoriasis, as suggested by only three reported cases presenting with de novo lesions.2 Several other risk factors have been postulated, such as diabetes mellitus, which can lead to microangiopathy and macroangiopathy.2 Some authors have proposed the idea that impaired pulmonary function or phlebitis can result in local anoxia, which can contribute to the stark hyperkeratosis associated with VP.2
Verrucous carcinoma (VC) and VP exhibit considerable clinical and histopathologic overlap.1 In cases where differentiation is challenging, conducting ancillary staining with p16 is recommended to assess for the presence of HPV infection, which is frequently linked with VC.1 Other histopathological differential diagnoses include verruca vulgaris, deep fungal infections, and hypertrophic lichen planus.1
Regarding the treatment of VC, topical corticosteroids, keratolytic agents, and calcipotriene have been reported to provide minimal improvement as monotherapy.2 Better success has been shown with systemic therapies, such as methotrexate and acitretin, with anecdotal reports favoring the usage of oral retinoids.2 Biologic medications such as adalimumab, ustekinumab, etanercept, and infliximab have only provided a partial response but may be effective in milder cases.2 Notably, one case report described unilateral VP initially unresponsive to topical corticosteroids, phototherapy, and oral methotrexate, which displayed an excellent response to adalimumab.4 Combination therapies including intralesional triamcinolone plus methotrexate or methotrexate plus acitretin can be used for more extreme cases.5 Importantly, caution should be exercised when combining methotrexate and acitretin therapy due to the heightened risk of hepatotoxicity. Etretinate was considered as a treatment option in one case report; however, its efficacy was thought to be primarily attributed to the pronounced hyperkeratosis present in the specific lesions described in the report.1,3 Non-medical treatments for VP, such as excision or cryotherapy, are available options; however, their use may lead to potential morbidity due to the involvement of sensitive anatomical areas and the risk of koebnerization.1
Conclusion
VP poses diagnostic and therapeutic challenges due to its rarity and resistance to conventional treatments. This case underscores the importance of recognizing VP as a distinct entity within the psoriasis spectrum and highlights the need for tailored therapeutic approaches, including consideration of systemic therapies and combination treatments, while exercising caution to mitigate associated risks, such as hepatotoxicity. Additionally, this report emphasizes the significance of thorough histopathological examination and differential diagnosis to ensure appropriate management decisions for patients with VP.
The authors reported no relevant financial disclosures.
- Garvie K, McGinley Simpson M, Logemann N, Lackey J. Verrucous psoriasis: A rare variant of psoriasis masquerading as verrucous carcinoma. JAAD Case Rep. 2019 Aug 5;5(8):723-725. doi: 10.1016/j.jdcr.2019.04.025. PMID: 31440568; PMCID: PMC6698722.
- Shivers L, Montanez-Wiscovich M. Verrucous Psoriasis Treated With Methotrexate and Acitretin Combination Therapy. Cutis. 2019 Dec 104(6): E10-E12.
- Sergeyenko, Artem; Clay, Tiffany; Guo, Aibing Mary. A Case of Verrucous Psoriasis. Journal of the Dermatology Nurses’ Association 9(4):p 183-185, 7/8 2017. | DOI: 10.1097/JDN.0000000000000299
- Duarte AA, Andrade AGBF, de Mendonça CC, de Freitas MR, da Silva DLF. Unilateral Verrucous Psoriasis Successfully Treated With Adalimumab. Dermatol Pract Concept. 2024 Jan 1;14(1):e2024032. doi: 10.5826/dpc.1401a32. PMID: 38364393; PMCID: PMC10868885.
- Kuan YZ, Hsu HC, Kuo TT, Huang YH, Ho HC. Multiple verrucous carcinomas treated with acitretin. J Am Acad Dermatol. 2007 Feb;56(2 Suppl):S29-32. doi: 10.1016/j.jaad.2006.01.043. Epub 2006 Aug 28. PMID: 17097363.
Maria Bao-Loc-Trung, BS
- Medical student, Louisiana State University Health Sciences Center New Orleans.
George Jeha, MD
- Dermatology resident, Louisiana State University Health Sciences Center New Orleans.
Deborah Hilton, MD
- Board-certified dermatologist, New Orleans, Louisiana.
Ready to Claim Your Credits?
You have attempts to pass this post-test. Take your time and review carefully before submitting.
Good luck!














